2 What is brain-based learning and teaching?
Neuroscientists now have more sophisticated ways of examining living brains than was ever possible before. It is now possible to obtain images of the brain that show activity as it occurs. The importance of the first years of life has always been recognised by early years practitioners but the new information about the brain deepens our understanding about why this might be.
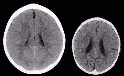
Research from the National Scientific Council on the Developing Child (2012) and Perry and Pollard (1997) has reported on the effects of sensory stimulation, or the lack of it, on early brain development. Using data from CT scans, physical measurements and documentary sources they explored the brain development of a group of neglected children. As an example of what can happen in an extreme case of sensory deprivation, Perry and Pollard published the startling images shown below.

These images illustrate the negative impact of neglect on the developing brain. The CT scan on the left is from a healthy three-year-old child with an average head size (50th percentile). The image on the right is from a three-year-old child following severe sensory-deprivation neglect in early childhood. This child's brain is significantly smaller than average and has abnormal development of the cortex (cortical atrophy) and other abnormalities suggesting under-development and mal-development of the brain. The contrast is marked but it is important to remember the comparison is with a very extreme example.
Research like this suggests that new information about how the brain works will help us to develop more effective learning strategies. Now complete Activity 2, which will take you more deeply into the key ideas behind brain-based learning and the ways these can be linked to educational practices.
Activity 2
Click on the link below to read the first article Brain Development and Early Learning’. Keep a note of any points that are new to you or that you found surprising in any way, as you will need these for the next activity.
Article 1: ‘Brain Development and Early Learning’ (Wisconsin Council on Children and Families, 2007) [Tip: hold Ctrl and click a link to open it in a new tab. (Hide tip)]
Next, click on the link below for the second article ‘What Is “Brain-Based Learning”?’, which looks in a little more detail at brain research and links this to learning and teaching. It suggests ways in which educators could enhance their practice by drawing on this new information. Look particularly at the Twelve Design Principles and at the ways in which it is suggested learning can be maximised. Keep a note of three points that interest you in this reading and which relate specially to young children.
Article 2: ‘What Is “Brain-Based Learning”?’ (Chipongian, 2004)
After you've completed the reading, make some further notes in response to the following:
- evaluate your own provision according to the Twelve Design Principles
- consider how you would make changes to enhance learning
- note any points about brain development that are particularly pertinent to you and your setting.
1 Play, learning and the brain

