Skip to main content

What is Alzheimer's disease?

Updated Thursday, 21 September 2017
 It looms over many of our lives, but what is Alzheimer's disease? Here's a guide:

This page was published over 8 years ago. Please be aware that due to the passage of time, the information provided on this page may be out of date or otherwise inaccurate, and any views or opinions expressed may no longer be relevant. Some technical elements such as audio-visual and interactive media may no longer work. For more detail, see how we deal with older content.

What is Alzheimer's disease?

Alzheimer's disease is the most common type of dementia. Dementia is described as the loss of brain function, and symptoms can include memory loss, confusion, personality changes and problems with speech. In the advanced stages of the disease sufferers may find it difficult to perform the everyday tasks most of us take for granted, and they may no longer recognise their family members or their surroundings. Alzheimer's is a progressive disease, which means that gradually, overtime, more parts of the brain are damaged, and as the brain declines, the symptoms become more severe.

Around 850,000 people have dementia in the UK, with 62% of these having Alzheimer's disease - the most common form of dementia. Although it can sometimes affect young people, it is more likely to develop in older people and affects around one in six of the population aged over eighty. The problem is a worldwide one, although it has the greatest impact on the developed countries due to ageing populations.

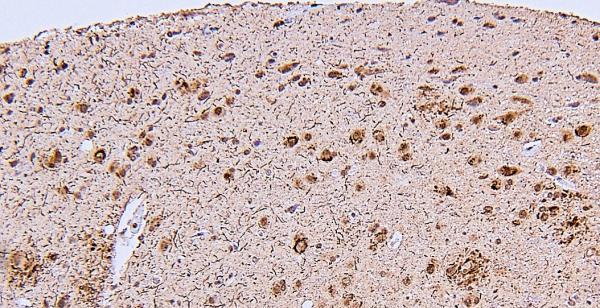
Biopsy from a brain showing early stages of Alzheimer's Disease Biopsy from a brain showing early stages of Alzheimer's Disease

What causes Alzheimer's disease?

The disease was discovered in 1907 by Alois Alzheimer. He studied the brain tissue of a woman with dementia and discovered that it was affected by abnormal ‘plaques and tangles’. The ‘amyloid plaques’, and ‘neurofibrillary tangles’, consist of a build up of different types of protein. They block the transport of vital nutrients to the brain cells so neurons (nerves) become damaged and can no longer transmit messages effectively, interfering with brain function.

The cause of these plaques and tangles and, indeed, of the disease is still unknown, although research has explored the possible role of toxins such as aluminium and of genes. It is likely that the disease is caused by a number of factors rather than a single factor.

Twice as many women as men are affected by the disease, which suggests a possible link with female hormones. It is believed by scientists that the female hormone oestrogen has a protective effect on the brain, so that after the menopause when oestrogen levels fall, women are more at risk of developing Alzheimer's disease.

Research continues into an effective treatment to alleviate or reduce the damaging effects of this disease. Various treatments and preventive measures are being investigated, including the use of hormone replacement therapy, vaccines, and substances that aim to break down the protein deposits in the brain.

Extracted from The Open University course Understanding Health.

You might also be interested in:

 

Become an OU student

Ratings & Comments

Share this free course

Copyright information

Skip Rate and Review

Rate and Review

For further information, take a look at our frequently asked questions which may give you the support you need.

Have a question?